ORTHODONTIE EXCLUSIVE POUR
ENFANTS & ADULTES
Dr Jean-Philippe MEYER
ACCUEIL
CABINET
PLAN D'ACCÈS
VIDÉOS
FICHES CONSEILS
NOUVEAUX PATIENTS
ENFANTS
ADULTES
ACCUEIL
CABINET
PLAN D'ACCÈS
VIDÉOS
FICHES CONSEILS
NOUVEAUX PATIENTS
ENFANTS
ADULTES
ORTHODONTIE EXCLUSIVE POUR
ENFANTS & ADULTES
47, rue de Mulhouse
68400
RIEDISHEIM
+33 3 89 59 77 94
secretariat@cojpm.fr
Dr Jean-Philippe MEYER
Consulter nos horaires en cliquant ici
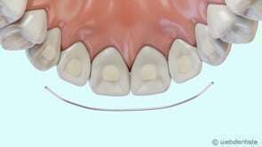
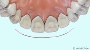
Fil de contention
Vidéos 3D
Partager
Twitter
Partager
Partager
Envoyer
Copier
ORTHODONTIE EXCLUSIVE POUR ENFANTS & ADULTES
47, rue de Mulhouse
68400
RIEDISHEIM
+33 3 89 59 77 94
Politique de confidentialité et charte cookie
Mentions légales
Conditions Générales Utilisation
Charte déontologique
Ordre national
Annuaires chirurgiens dentistes
Création par
Connexion