ORTHODONTIE EXCLUSIVE POUR
ENFANTS & ADULTES
Dr Jean-Philippe MEYER

Vidéos 3D - Page 3

Traitement multi-attaches

Traitement multi-attaches

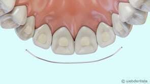
Fil de contention

Fil de contention

Contention de hawley

Contention de hawley

Le quad helix : traitement du palais et de l’alignement des dents

Le quad helix : traitement du palais et de l’alignement des dents

Orthodontie : la traction d'une canine palatine incluse

Orthodontie : la traction d'une canine palatine incluse

Expansion palatine - activation du disjoncteur

Expansion palatine - activation du disjoncteur

Affichage des articles 13-18 sur 18